207 مشاهدة
بعد 80 عامًا من حياتها ..أطباء يعثرون على إبرة بطول 3 سنتيمرات بداخل دماغ سيدة

هل خيلت ذات مرة أن تعيش بإبرة بطول 3 سنتيمترات داخل دماغك؟.. نفترض في حالة حدوث ذلك هل تخيلت كيف يكون شعورك؟.. بنسبة تصل لـ 99% لن تتمكن من أن تتخيل كيف يكون شعورك أو بالأصح لم تتخيل أن يكون بداخلك هذا الشيء المعدني من الأساس، ولكن في الحقيقة تمكنت سيدة تبلغ من العمر 80 عامًا أن تعيش بهذا الواقع الأليم وليس هذا هو المحزن فقط، بل الأشد هو اكتشاف ذلك بعد 80 عامًا من ولادتها.
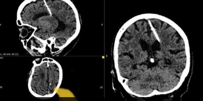
في إحدى الدول في أقصى الشرق الروسي عثر أطباء خلال فحص بالتصوير المقطعي على إبرة بطول ثلاثة سنتيمترات موجودة منذ ثمانين عامًا داخل دماغ امرأة مسنّة.
ويرجح الأطباء أن تلك المرأة من الممكن أن تكون قد تعرضت لمحاولة قتل فاشلة نفذها والداها خلال طفولتها، خلال الحرب العالمية الثانية، لأنها كانت تعيش مع إبرة يبلغ طولها ثلاثة سنتيمترات “منذ ولادتها”
وأوضح الأطباء أن عمليات قتل الأبناء لأطفالهم كان شائعًا خلال تلك الفترة من الزمن إذ أطلق عليها بـ “سنوات المجاعة”، حيث نقص الغذاء كان سائدًا في جميع أنحاء الاتحاد السوفياتي خلال الحرب، وعاش الكثير من السكان في فقر مدقع.
وأكد الأطباء بأنهم لن يحاولوا إزالة تلك الإبرة وذلك خشية من أن يفاقم ذلك من حالتها.
ومن جانبها، قالت إدارة الصحة المحلية: “لقد اخترقت الإبرة الفص الجداري الأيسر، لكن لم يكن لها التأثير المقصود، إذ نجت الفتاة”
وأوضحت أن المريضة لم تشكُ أبدأ من الصداع بسبب الإصابة، ولم تكن تواجه أي خطر. مؤكدة أن حالتها تحت المراقبة.
سنوات المجاعة

و بالعودة إلى “سنوات المجاعة”، فنجد أنه بعد 4 سنوات من الحرب ضد الألمان على الساحة الأوروبية وجد الاتحاد السوفيتي نفسه عاجزًا عن إطعام جميع مواطنيه الذين قدّر عددهم بنحو 170 مليون نسمة.
وليس ذلك فقط بل دمّرت البنية التحتية بشكل شبه كامل بأهم المدن السوفيتية و خرّبت الحقول وأحرقت وافتقر الفلاحون للحبوب والأسمدة والآلات الزراعية.
ومن منتصف العام 1946 ومطلع العام 1948، المعروفة بسنوات المجاعة توفي ما يزيد عن مليون سوفيتي بسبب الجوع حيث يصعب حصر العديد بشكل دقيق بسبب انتشار اليتامى والمشردين، وبسبب عدم عثورهم على أي شيء يؤكل، لجأ العديد من الأهالي للتغذي على جثث الموتى.
الكاتب
ما هو انطباعك؟









